Apa itu Operasi Hidung (Rhinoplasty)?

Hal ini merujuk pada penggunaan operasi plastik untuk mencapai garis batang hidung yang seimbang dan harmonis antara ujung dan pangkal hidung. Prosedur operasi hidung meliputi operasi hidung operasi hidung 3D CT, operasi hidung tanpa implan, septoplasty, operasi hidung bengkok, operasi pembuangan tonjolan, revisi operasi hidung, dan operasi hidung pria. Untuk memperbaiki bentuk tiga dimensi wajah atau rasio wajah, prosedur seperti face lift, transplantasi implan paranasal, kontur wajah, dan transplantasi lemak wajah dapat dikombinasikan dengan operasi hidung. Tergantung pada kondisi wajah masing-masing individu, prosedur ini mungkin disarankan secara bersamaan.

Dokter di Braun merupakan dokter bedah plastic bersertifikat di Seoul, Korea Selatan Mereka adalah dokter yang terampil dan berpengalaman dengan reputasi yang baik di korea
Konsultasi Online

Rangkuman Operasi Hidung 3D CT

  • Durasi Operasi

    sekitar 2 jam

  • Rawat Inap

    tidak

  • Kunjungan ke klinik

    2-3 kali

  • Anestesi

    Sedasi IV + bius lokal

  • Lepas Jahitan

    hari ke-5

  • Waktu pemulihan (tinggal di Korea)

    5-7 hari

Apa itu Operasi Hidung (Rhinoplasty)?

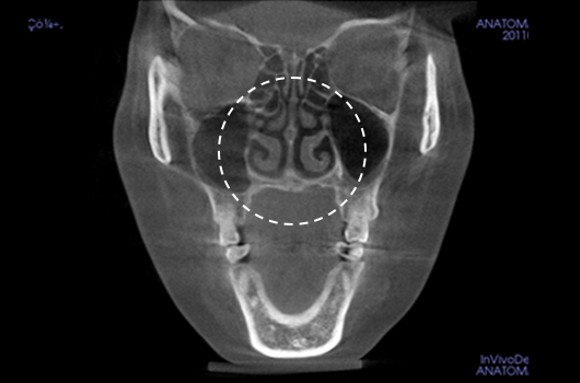
Operasi hidung CT 3D membantu pelaksanaan operasi hidung yang lebih canggih setelah menganalisis wajah secara cermat untuk menentukan mana yang terbaik.Analisis tiga dimensi digunakan untuk mengetahui keadaan secara umum, ukuran, bentuk, dan asimetri tulang hidung, tulang rawan septum hidung, dan jaringan kulit, yang tidak dapat ditentukan melalui konsultasi pada umumnya. Saat merencanakan revisi operasi hidung, kami dapat memeriksa elemen fungsional seperti deviasi septum hidung, bentuk implan yang ada, termasuk implan silikon, atau komplikasi dari operasi sebelumnya.

Before

After

Before

After

Metode Operasi

Posisi sayatan

Bila hanya diperlukan sedikit perbaikan seperti operasi pada batang hidung saja, maka operasi hidung tertutup dapat dilakukan. Operasi hidung terbuka sering kali digunakan untuk memperbaiki struktur bagian dalam hidung dengan lebih tepat atau untuk memperbaiki bentuk hidung secara keseluruhan. Dengan prosedur ini, sayatan dibuat di kolumela antara lubang hidung dan di dalam lubang hidung

VS

OPERASI HIDUNG TERTUTUP

OPERASI HIDUNG TERBUKA

Prosedur Operasi

01

Melalui 3D-CT scan, tulang dan tulang rawan serta lokasi pembedahan, termasuk apakah dibutuhkannya osteotomi dan seberapa banyak reduksi tulang hidung yang harus dilakukan dapat diketahui.

02

Setelah lokasi pembedahan disayat, tulang rawan, perikondrium, tulang hidung, dan periosteum dipisahkan untuk memberikan ruang bagi tulang rawan dan implan.

03

Tulang rawan dan implan dimasukkan menggunakan material yang sesuai dengan bentuk batang dan ujung hidung.

04

Garis hidung yang indah telah selesai.

Proses Pemulihan

TAMPAK DEPAN
SEBELUM
HARI KE-1
HARI KE-5
1 BULAN
TAMPAK SAMPING
SEBELUM
HARI KE-1
HARI KE-5
1 BULAN

Apa Perbedaan Metode Bedah Braun dengan Metode Bedah Umum?

Menyesuaikan pembedahan untuk setiap pasien sehingga operasi sebisa mungkin dipersonalisasi 1:1. Tidak hanya mengutamakan hasil estetika, Operasi Plastik Braun juga berfokus pada perbaikan fungsi dari operasi hidung Dengan pengalaman bedah kami yang ekstensif dan material yang beragam, kami merekomendasikan implan yang cocok untuk setiap individu.

Pentingnya 3D-CT Scan pada Operasi Hidung

Dalam setiap konsultasi operasi hidung, Klinik Operasi Plastik Braun menggunakan 3D-CT scan untuk menganalisis isu-isu berikut dalam tiga dimensi: Rancangan bedah dapat dibuat lebih tepat dan potensi efek samping dapat berkurang dengan memahami lebih lanjut ukuran, bentuk, dan asimetri bagian hidung yang tak kasat mata dan struktur anatomi disekitarnya sebelum operasi.
Dengan implan yang dibuat khusus untuk setiap pasien dengan bantuan 3D-CT scan, kami dapat mengurangi kemungkinan efek samping dan bisa mendapatkan penampilan yang lebih alami.

1. Analisis tulang rawan septum dalam berbagai ukuran dan bentuk
2. Diagnosis dan tindakan untuk deviasi hidung dan deviasi septal
3. Analisis untuk lebar dan asimetri tulang hidung
4. Diagnosis Inferior turbinate asymametry dan pembedahan hidung tersumbat

Kandidat Operasi Hidung

  • 체크아이콘 Jika anda menginginkan bentuk hidung yang menarik untuk menyempurnakan bentuk wajah Anda
  • 체크아이콘 Jika Anda ingin memperbaiki rinitis atau gangguan hidung lainnya sekaligus memperbaiki penampilan
  • 체크아이콘 Jika Anda ingin mengubah bentuk hidung, seperti hidung datar, melebar, bengkok, tebal, panjang, atau pendek, atau ingin mengubah ujung hidung yang turun atau pesek
  • 체크아이콘 Jika Anda membutuhkan revisi operasi hidung karena anda tidak puas dengan operasi sebelumnya
Rasio Emas Hidung
untuk Proporsi Wajah
Letak hidung berada di tengah-tengah wajah. Jika dikoreksi sesuai dengan rasio estetika wajah yang tepat, maka akan timbul efek tiga dimensi serta keselarasan fitur wajah yang akan menambah pesona mata dan bibir Anda.

FOTO BEFORE & AFTER

Yang Sering Ditanyakan

  • FAQ가 없습니다.
  • BRAUN YOUTUBE

    Publikasi di Jurnal Bedah Plastik Terkenal di Dunia

    2019 PRS KOREA

    2018 PRS KOREA

    • 2019 PRS KOREA - Konferensi Internasional Bedah Plastik Korea

      Presentasi oleh Chief Dr. Lee Ji-Won dengan tema " Indikasi Lift MACS setelah Operasi Kontur Wajah”

    • 2019 PRS KOREA - Konferensi Internasional Bedah Plastik Korea

      Presentasi oleh Chief Dr. Ryu Dong-Wan dengan tema "Pipi Kendur pada Reduksi Malarplasty”

    • 2018 PRS KOREA - Konferensi Internasional Bedah Plastik Korea

      Presentasi oleh Chief Dr. Lee Ji- Won dengan tema " Kombinasi Lifti MACS dengan Kontur Wajah pada Kasus Kulit Submallar Berongga dan Kendur”

    Hak Paten Terdaftar pada Setiap Prosedur Operasi

    Braun mendaftarkan hak paten untuk metode bedah operasi yang dikembangkan sendiri seperti operasi hidung, operasi mata, anti-aging, dan operasi dada. Inilah daya saing inti Braun yang tak tertandingi.

    • Operasi Hidung Lereng Ski Braun

    • Operasi Lipatan Mata Adhesi Natural Braun

    • Augmentasi Payudara Lembut Braun

    • Augmentasi Payudara Lembut Braun

    • Augmentasi Payudara Lembut Braun

    • Operasi Lifting Wajah Braun

    • Operasi Hidung Lereng Ski Braun

    • Augmentasi Payudara Mochiri Tofu

    *Komplikasi seperti pendarahan, infeksi, atau inflamasi mungkin saja terjadi setelah operasi dan kepuasan masing-masing individu dapat berbeda: mohon konsultasikan dengan dokter bedah anda.
    닫기
    QR
    QR
    로그인하셔야 본 서비스를 이용하실 수 있습니다.